“就一根小小的,
怎么偏偏能钻到肝里去?”
近日
37岁的李先生(化名)十分崩溃
他怎么也想不到
一根小小的鱼刺
在他体内“潜伏”了半个月
竟成了致命的“隐形杀手”!

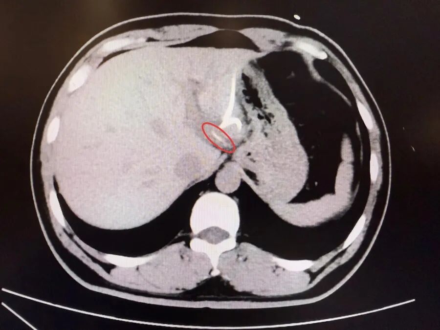
半月前,37岁的李先生(化名)误吞鱼刺却未察觉,数天后出现腹痛、高热(达40℃)等症状,当地医院诊断为“肝脓肿”,治疗后症状反复,CT检查才发现肝脏左叶有鱼刺——其已穿透胃壁入肝引发感染,十分危险,当地医生评估后认为,要彻底清除异物,需要进行左半肝切除手术,这让李先生难以接受。

为寻求更精准、微创的治疗,李先生转至复旦大学附属中山医院内镜中心。“鱼刺位置非常凶险,就在贲门旁刺入左肝,紧贴大血管。”接诊的周平红主任指出,鱼刺位于贲门旁左肝处,紧贴大血管,且腹腔感染粘连严重,手术难度极高。
团队提出创新方案:通过胃镜在食道管壁夹层建隧道,让内镜“跨”胃壁入腹腔取刺。最终,历时3小时手术,医生分离粘连后顺利取出3.5厘米长鱼刺,全程无明显出血。
术后李先生恢复顺利,免于肝切除,保住肝脏功能。该手术为全球首例“内镜下经食管黏膜下隧道进腹肝异物取出术”。
中山医院专家提醒
鱼刺、鸡骨、牙签等尖锐异物一旦误吞,不可依赖“吞饭团”“喝醋”等民间方法自行处理。若异物穿透胃肠壁,可引发胸腔大出血、腹膜炎、脓肿,甚至危及生命。
那该怎么办?医生来支招
↓↓↓
首先用力的咳嗽,看是否能把鱼刺咳出来,如果能看到鱼刺,可以用镊子夹取,如果无明显好转,即刻及时就医。
千万不要小看任何一根鱼刺
鱼刺一旦进入身体
一般会出现在以下几个“地段”
↓↓↓
事故多发“地段”
肉眼可见的喉咙处,扁桃体、舌根这些地方。
如果鱼刺卡在这里会引起吞咽困难,卡在扁桃体内侧的鱼骨张嘴比较容易发现,如果是扁桃体下极、梨状窝这些地方,就要找医生帮忙了。
重大事故多发“地段”
这个“地段”是最危险的地方,它就是主动脉,如果鱼刺刺穿主动脉,可能造成大出血。就像文中的小张一样。
事故较少“地段”
鱼刺进入胃内的情况比较少见,能通过重重关卡卡到这么深,也是非常危险的。可能会导致胃穿孔,引发腹膜炎,如果不及时手术治疗,也会危及生命。
遭遇鱼刺卡喉怎么办?
正确做法
↓↓↓
一、立即停止进食。
二、看看鱼刺卡在哪里,如果鱼刺卡住的位置较浅,且肉眼可以看见,那么可以让身边的人尝试用镊子将其取出。
三、但如果鱼刺位置较深,肉眼无法发现,或是鱼刺比较大,则应及时就医。
此外,当不慎吞下尖锐的异物,出现腹痛、腹胀、恶心呕吐、肛门停止排气排便等情况时候,要高度怀疑肠梗阻可能。
划重点
↓↓↓
如果鱼刺很大很硬
感觉颈部、胸部刺痛感强烈
建议即刻就医