你以为喝酒只是伤肝、伤胃?不,酒精也在悄悄“侵蚀”你的骨骼。很多人以为“小酌怡情”,或者顶多头晕、胃难受,却不知危害正悄然蔓延至全身。最近,一名30岁男子确诊股骨头坏死晚期,而根源就指向他每天饮下的酒。
30岁股骨头坏死,
喝酒竟是“元凶”
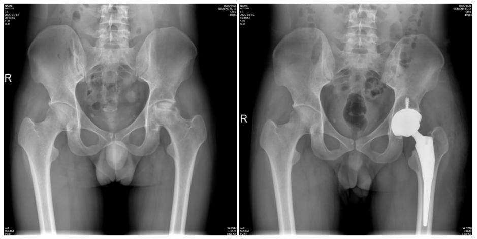
据广东省中医院,该院近日收治了一名30岁的男子,他在两年前出现左髋关节疼痛,最近半年加重了不少。检查发现,他的左侧股骨头缺血性坏死,已经到了晚期,发生了塌陷、变形。由于保守治疗症状没好转,只能进行髋关节置换手术。

患者术前术后X光片对比。图自广东省中医院
髋关节是我们人体最大的承重关节,严重的股骨头坏死,不仅会出现髋关节的疼痛,而且不能下蹲、不能行走,很影响正常生活。
为什么年纪轻轻骨头就“垮”了?原来,男子长期喝酒喝了有10年,每天至少要喝3瓶啤酒。广东省中医院珠海医院关节病科主任吕燃告诉他,股骨头坏死的过程是寂静的、缓慢的,在推杯换盏、称兄道弟的时候,身体里最重要的“轴承”正在默默地走向坏死。
酒精是如何一步步“侵蚀”骨头的?
四川大学华西广安医院骨与关节外科医师余江在该院公众号刊文介绍,酒精对股骨头的破坏是“多管齐下”的:
1. 血管“交通堵塞”
长期饮酒→肝脏脂肪代谢紊乱→血液中游离脂肪酸上升→形成脂肪栓子→堵塞股骨头微小血管→骨细胞缺血死亡。
2. 骨修复“罢工”
酒精抑制骨髓干细胞分化为成骨细胞,反而促进其变成脂肪细胞,导致“该修的不修,不该长的乱长”。
3. 引发炎症“火上浇油”
酒精代谢产生大量自由基,引发炎症反应,加速骨细胞凋亡。
余江介绍,四川大学华西广安医院骨与关节外科每年接诊的酒精性股骨头坏死患者中,超60%为长期饮酒致髋关节损毁的中年患者,轻则行走困难,重则丧失劳动能力。
喝酒没什么感觉?
其实身体早已记下“坏账”
酒精的伤害往往是“温水煮青蛙”,从偶尔的微醺到长期的器官损伤,当你真正察觉时,可能为时已晚。除了“侵蚀”骨头外,酒精还会——
第一笔账:酒精在减少大脑容量
很多人觉得喝酒可以让人放松,这是因为酒精是一种中枢神经抑制剂。四川大学华西医院心理卫生中心副主任医师/硕士生导师徐佳军在“华西医生”公众号刊文介绍,一般在喝酒后40分钟内,血液中的酒精浓度会达到最高,并逐渐抑制大脑皮质,让人呈现失去自我控制的兴奋状态,从而暂时疏解压力与不快的情绪。
然而,这种放松只是暂时的,它对大脑的长远影响却是可怕的。2022年《自然·通讯》发表的一项涉及约3.6万多名中老年人研究,发现即使是少量饮酒也与大脑容量的减少有关。饮酒越多,脑体积改变的程度越明显。
许超医生微博截图
2017年,《英国医学期刊》上发表的一项研究则发现,长期轻中度(大约每周7-10瓶啤酒或者1-2瓶红酒)的饮酒也会对大脑功能造成一些损伤,比如认知、记忆等。
第二笔账:酒精不断刺激胃粘膜
酒精可以使胃粘膜发生充血,还可以破坏胃粘膜屏障;另外,酒精可以刺激壁细胞加速胃酸分泌,进一步腐蚀胃粘膜,促使胃肠粘膜溃疡及糜烂出血。⑥如果用胃镜看,很多经常喝酒人的胃粘膜往往伤痕累累。
第三笔账:酒精一步步危害肝脏
酒精大部分是在肝内进行代谢的,酒精对肝脏的危害是逐步累积的,从“酒精性脂肪肝→酒精性肝炎→酒精性肝硬化”,最后导致肝癌的发生其实只需要四步。可以说,超量喝酒,每多喝一杯就是向肝癌靠近一步。
第四笔账:酒精在间接“摧残”血管
中南大学湘雅医院急诊科教授罗学宏在健康报刊文介绍,酒精可以刺激人体交感神经使血管扩大、血流加速;进一步促使血流对管壁的冲击力,长时间会致使动脉硬化、血压增高,严重的可致脑部出血性中风等。
第五笔账:酒精让心脏不断肥大
长期大量饮酒的人心肌组织中会出现脂肪细胞,导致心室体积扩大、心肌肥厚、心脏增大,即酒精性心肌病。而由于心肌受损,心脏增大,而搏血量并不增大,于是机体器官、组织就会缺血、缺氧,就医不及时很容易导致心衰,甚至猝死。
最安全的饮酒剂量是0
2018年,《柳叶刀》上发表的一项全球疾病负担研究组研究发现:喝酒不能带来任何健康受益,而且,饮酒是全世界范围内导致中青年男性(15-49岁)死亡的头号凶手。
研究团队也在论文中强调:“喝酒对健康有益,这个多年来被深信的观点,是时候被改写了。本次研究的结果证明,没有所谓的适量饮酒有益健康一说。”
若无法完全避免饮酒,需严格控制饮酒量。参考《中国居民膳食指南》建议:成年男性每日酒精摄入量<25克,女性<15克,约等于啤酒500毫升或红酒150毫升,且不建议每日饮酒,并且不空腹饮酒、不混饮多种酒。